香港去深圳做種植牙選咩品牌嘅植體好?登騰/奧齒泰/皓聖植體性價比高!
嘿,各位香港的朋友,你們有冇想過來深圳做種植牙呀?
深圳作為鄰近香港嘅大城市,不單止醫療資源豐富,而且牙科技術同服務都良好,更重要嘅係,價錢仲比香港平好多呢!
今日我就嚟同大家講講,去深圳做種植牙嘅時候,應該選咩品牌嘅植體好,其中登騰、奧齒泰、皓聖植體就系性價比较高嘅選擇呀!

先講下為咩好多香港人會選擇去深圳做種植牙啦。
首先,深圳嘅牙科技術真係唔錯,好多牙科醫院同醫生都經驗豐富,而且設備都好先進。
其次,深圳嘅種植牙價格相對香港嚟講真係平好多,對於好多想改善牙齒問題但又唔想花太多錢嘅朋友嚟講,真係好吸引呀!

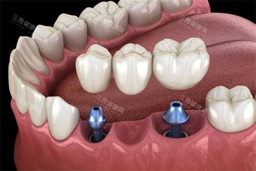
好啦,講到重點啦,去深圳做種植牙嘅時候,應該選咩品牌嘅植體好呢?
今日我就嚟同大家介紹三款性價比较高嘅植體品牌:登騰、奧齒泰、皓聖。

1. 登騰植體
登騰植體,呢款植體真係好受歡迎呀!
佢嘅優勢就係骨結合能力好強,可以令種植體更加穩固地固定在牙槽骨上,而且佢嘅表面處理技術都好先進,可以令植體更加容易與周圍嘅組織結合,恢復得更加快。
仲有呀,登騰植體嘅價格都相對平實,性價比真係好高呀!

2. 奧齒泰植體
再嚟講下奧齒泰植體啦。呢款植體嘅優勢就係適應性好強呀,無論你嘅牙槽骨情況點樣,奧齒泰植體都可以好好地適應,令種植结果更加理想。
而且佢嘅表面處理技術都好出色,可以令植體更加耐用,使用壽命更加長。
仲有呀,奧齒泰植體嘅價格都相對合理,真係好抵呀!

3. 皓聖植體
然後就係皓聖植體啦。呢款植體真係好特別呀,佢嘅優勢就係設計好精細,可以令種植體更加貼合你嘅牙齒形態,令種植结果更加自然美觀。
而且佢嘅表面處理技術都好先進,可以令植體更加容易與周圍嘅組織結合,恢復得更加快。仲有呀,皓聖植體嘅價格都唔算好貴,真係好抵食呀!

講到這裡,可能有些朋友會問,為咩要選呢三款植體呢?
其實呀,呢三款植體都有好多共同嘅優勢呀!
首先,佢哋都係國際出名的品牌,品質都有确保呀。
其次,佢哋嘅表面處理技術都好先進,可以令植體更加容易與周圍嘅組織結合,恢復得更加快。
仲有呀,佢哋嘅價格都相對平實,性價比真係好高呀!

好啦,講完植體品牌之後,我再嚟同大家講講去深圳做種植牙要注意啲咩啦。
首先,一定要選擇正規嘅牙科醫院同醫生呀,千祈唔好貪平去一些唔正規嘅地方呀,唔好為咗省錢而搞壞咗自己嘅牙齒呀!
其次,做種植牙之前一定要同醫生好好溝通呀,畀醫生知道你嘅期望同需求呀,咁先可以做出更適合你嘅治療方案呀!
仲有呀,做完種植牙之後一定要好好護理呀,千祈唔好食太硬嘅嘢呀,唔好唔刷牙呀,唔好唔定時覆診呀,唔好搞壞咗自己嘅牙齒呀!

好啦,講咗咁多,相信大家都已經知道去深圳做種植牙應該選咩品牌嘅植體好啦。
登騰、奧齒泰、皓聖植體真係好受歡迎呀,性價比真係好高呀!
如果你都想去深圳做種植牙嘅話,千祈唔好走寶呀,一定要選擇正規嘅牙科醫院同醫生呀,千祈唔好貪平去一些唔正規嘅地方呀!
希望大家都可以擁有一口健康又美觀嘅牙齒呀!